本期生物医药资讯聚焦八项前沿突破,覆盖肿瘤免疫、神经科学、再生医学等领域。西湖大学开发体内生成CAR髓系细胞新技术,为实体瘤治疗开辟新路径;复旦大学揭示GPR91受体驱动脂肪肝炎纤维化机制,提供新干预靶点;埃默里大学发现磷脂酰丝氨酸作为“脂质检查点”可逆转T细胞耗竭。多项成果从基础走向临床转化,展现巨大价值。
一、西湖大学团队开发新技术体内生成CAR髓系细胞
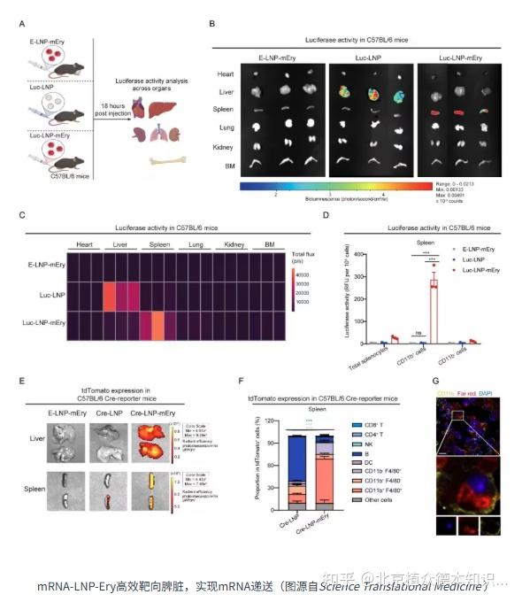
2026年3月,西湖大学高晓飞团队与北京大学李湘盈团队在《科学·转化医学》上发表的封面研究,展示了一种利用红细胞在体内原位生成嵌合抗原受体髓系细胞(CAR-M)的新技术,为实体瘤免疫治疗开辟了创新路径。
该技术核心在于构建了名为mRNA-LNP-Ery的递送平台。研究人员将携带编码CAR的mRNA的脂质纳米颗粒(LNP)共价锚定于红细胞表面。红细胞凭借其天然的生物相容性、低免疫原性以及频繁归巢至脾脏的生理特性,成为理想的“特洛伊木马”。当这些工程化红细胞随循环抵达脾脏——这一关键的免疫器官时,其表面的mRNA-LNP会被脾脏中的CD11b⁺髓系细胞(如巨噬细胞)识别并整体吞噬。
这一递送机制带来了两大关键优势。首先,它实现了极高的靶向特异性。与传统LNP主要被肝脏截留不同,mRNA-LNP-Ery将超过66%的CAR表达精准导向脾脏髓系细胞,显著降低了脱靶风险。其次,它绕过了传统内吞途径的瓶颈。通过吞噬作用进入细胞后,mRNA在吞噬体成熟过程中得以提前释放至细胞质,有效规避了溶酶体降解,使得其蛋白翻译效率达到传统LNP递送的7.6倍。
在多种实体瘤小鼠模型中,通过该平台生成的抗HER2或抗CD19的CAR-髓系细胞展现出强大的抗肿瘤活性,能显著抑制肿瘤生长并延长生存期。尤为突出的是,其所需mRNA剂量仅为传统LNP全身给药的十分之一,且系统性毒性显著降低,安全性更优。机制研究表明,该疗法的成功依赖于脾脏内CAR-髓系细胞的形成,并需要与适应性免疫系统(如T细胞和NK细胞)协同作用,共同重塑肿瘤微环境,促进免疫细胞浸润。
此项工作标志着细胞疗法范式的重要转变,首次证明了利用红细胞载体可实现体内免疫细胞的直接编程。它为解决当前CAR-T/CAR-M疗法在实体瘤中面临的浸润困难、制备复杂、成本高昂等挑战提供了全新思路,为开发更高效、普适的“即用型”癌症免疫治疗策略奠定了坚实基础。
二、上海交大李真团队构建碳框架实现衰老细胞识别与清除
3月17日,上海交通大学医学院李真教授团队联合中国科学院上海微系统与信息技术研究所的合作者,在《自然·通讯》(Nature Communications)上发表了一项突破性研究成果。该研究创新性地提出“结构演化”设计理念,并融合机器学习方法,成功构建了一种能够特异性识别并清除衰老细胞的碳量子点纳米诊疗体系,为衰老及相关疾病的干预提供了全新的策略与平台。
细胞衰老是机体衰老及多种年龄相关疾病发生发展的重要驱动因素。衰老细胞在体内累积会破坏组织微环境稳态,并表现出显著的代谢重编程特征,例如烟酰胺腺嘌呤二核苷酸(NAD⁺)水平的普遍降低。
基于此病理特征,研究团队以碳纳米材料为基质,通过机器学习算法对大量潜在结构模型进行筛选与优化,精准设计并合成了具有特定能级结构的C3N量子点体系。该体系的核心优势在于其“智能”响应性:一方面,其荧光发射特性对细胞内NAD⁺浓度高度敏感,能够在衰老细胞特有的低NAD⁺微环境中被特异性激活,从而实现衰老细胞的高对比度荧光成像与精准识别;另一方面,该量子点在特定波长光照下,可高效产生活性氧(ROS),从而对已识别的衰老细胞进行选择性清除,而不影响正常细胞的活力。
研究团队在动物模型上验证了该纳米体系的体内疗效。实验结果表明,该诊疗系统能够有效靶向并清除衰老细胞,显著降低皮肤创口愈合模型中的衰老相关标志物(如p16、SA-β-gal)表达,并显著促进组织修复与再生。整个体系展现出良好的生物相容性与安全性。
更为重要的是,此项研究不仅局限于单一材料体系的开发,更在于提出了一种可推广的纳米医学设计新范式。该“结构演化”理念结合机器学习辅助设计的策略,能够根据特定病理环境的生物化学特征(如代谢物浓度、pH值、酶活性等)反向定制具有相应识别与响应功能的纳米材料。这一通用性框架有望拓展至肿瘤、纤维化等其它依赖特定细胞清除策略的病理体系,为未来精准医学和靶向治疗技术的发展提供了创新思路与强大工具。
三、靶向GPR91受体:阻断脂肪肝炎纤维化进程的潜在新策略
复旦大学吴健教授与蒋炜教授团队在肝病学领域取得重要进展,其研究成果揭示了琥珀酸受体GPR91在代谢功能障碍相关脂肪性肝炎(MASH)相关肝纤维化中的关键作用,为开发新型抗纤维化药物提供了重要的理论依据和干预靶点。
该研究发现,在肝星状细胞(HSCs)——肝纤维化发生发展的核心效应细胞中,GPR91受体呈现高表达状态。尤为重要的是,在MASH诱导的肝纤维化进展过程中,该受体的表达水平进一步显著上调,提示其可能深度参与了纤维化的病理生理调控。
为验证其功能,研究团队构建了野生型及肝星状细胞特异性GPR91基因敲除(HSC-GPR91-KO)小鼠MASH模型。实验结果表明,外源性给予其配体琥珀酸,能够显著加剧野生型小鼠的肝纤维化程度;相比之下,HSC-GPR91-KO小鼠在MASH造模后,肝纤维化表型得到明显改善。这直接证明了HSCs上的GPR91受体是介导琥珀酸促纤维化效应的关键分子。
在机制层面,研究进一步在人类肝星状细胞中证实,琥珀酸通过激活GPR91,能够抑制细胞凋亡,从而可能促进活化的HSCs存活,加剧纤维化进程。深入研究发现,HSC特异性GPR91的缺失能够有效阻断肝纤维化的进程,其作用机制涉及细胞内两条关键的信号通路调控网络。
MASH作为全球重要的公共卫生问题,易进展为肝纤维化、肝硬化甚至肝细胞癌,其中肝纤维化是决定患者预后的关键环节。本项研究系统阐明了GPR91受体在驱动MASH相关肝纤维化中的核心地位,明确将其定位为一个极具潜力的分子干预靶点。靶向抑制GPR91信号通路,有望为阻断或逆转MASH的纤维化进展提供全新的治疗策略,为后续开发特异性小分子抑制剂类药物奠定了坚实的科学基础。
四、同济大学团队发布多剂量脐带干细胞治疗心衰研究结果
3月26日,同济大学附属东方医院刘中民教授、孙毅教授及韩薇教授团队在《Signal Transduction and Targeted Therapy》(IF=53)上发表了其最新临床研究成果。该研究聚焦于射血分数降低型心力衰竭(HFrEF)的治疗困境:尽管血管紧张素受体-神经肽酶抑制剂等已成为标准一线疗法,但患者总体预后仍不理想,而既往细胞疗法的临床结局存在不一致性。
为此,研究团队设计并实施了名为PRIME-HFrEF的单中心、随机、双盲、安慰剂对照临床试验。该研究共纳入40名HFrEF患者,旨在系统评估每隔6周进行一次、共计三次静脉输注脐带来源间充质干细胞(UC-MSC)方案的安全性与潜在疗效。
研究结果显示,在安全性方面,UC-MSC治疗组与安慰剂组之间严重不良事件的发生率无统计学显著差异,初步表明多剂量输注方案具有良好的耐受性。然而,研究同时观察到,接受UC-MSC治疗的患者其凝血功能相关指标呈现激活状态,具体表现为凝血能力增强,且血浆D-二聚体水平与左心室射血分数(LVEF)呈显著负相关。这一发现提示,治疗诱导的凝血系统变化可能与心脏功能恢复存在潜在关联。
在疗效终点分析中,虽然两组间左心室射血分数的平均变化未达到显著差异,但UC-MSC治疗组在右心室收缩末期容积(RVESV)的改善幅度上明显优于安慰剂组,表明干细胞治疗可能对右心室重构具有特异性积极作用。
综合而言,该研究证实了多剂量UC-MSC静脉输注在HFrEF患者中的基本安全性,并揭示了其与右心室容积改善的潜在关联。同时,研究首次提示治疗过程中伴随的凝血能力升高,可能部分抵消了对左心室收缩功能的改善效果,这为未来优化细胞治疗策略、联合抗凝管理或筛选最佳获益人群提供了重要的临床与转化医学视角。
五、Nature:胸腺健康决定机体寿命和抗癌疗效
传统观点认为,胸腺在青春期后逐渐萎缩、功能退化,退居为次要的免疫器官。然而,麻省总医院等机构在《自然》杂志上发表的一项突破性研究,彻底颠覆了这一认知。该研究揭示,成年人的胸腺健康状况不仅是评估个体整体寿命的重要生物标志物,更是决定癌症患者对免疫检查点抑制剂治疗反应的核心因素之一。
研究团队通过对大量临床计算机断层扫描(CT)影像进行深度分析,构建了一套客观、可量化的“胸腺健康评分”体系。大规模队列分析显示,胸腺评分较高的普通人群,其全因死亡率、心血管疾病特异性死亡率以及发生肺癌的风险均显著降低。这提示,维持良好的胸腺功能可能对抵御多种年龄相关疾病具有普遍保护作用。
在机制层面,胸腺作为T淋巴细胞发育和成熟的中枢器官,其功能状态直接决定了外周T细胞库的多样性与活性。功能健全的胸腺能够持续输出具有广泛抗原识别能力的 naïve T细胞,这是有效免疫监视和抗肿瘤免疫应答的基础。研究明确指出,吸烟、肥胖及慢性炎症状态等不良因素会损害胸腺实质,加速其脂肪化萎缩,从而削弱免疫系统的基石。
尤为重要的是,在癌症治疗领域,该研究首次将胸腺健康确立为一个独立于现有生物标志物(如PD-L1表达、肿瘤突变负荷)的免疫治疗疗效预测因子。在另一项针对接受免疫治疗患者的研究中,胸腺健康评分高的患者,其疾病进展风险和死亡风险均显著降低。这一发现具有跨癌种的普遍意义,为理解为何部分患者对免疫治疗原发耐药提供了新视角。
尽管其具体临床应用尚需在前瞻性临床试验中进一步验证,但这项研究无疑开辟了新的方向。未来,通过常规影像无创评估胸腺健康,有望成为对人群进行疾病风险分层、优化癌症患者治疗决策(如筛选更可能从免疫治疗中获益的人群)的强大辅助工具,推动精准免疫肿瘤学迈向新阶段。
六、磷脂酰丝氨酸成“脂质检查点”,可逆转T细胞耗竭并增效PD-1疗法
在肿瘤免疫治疗领域,T细胞耗竭是导致免疫检查点抑制剂(如PD-1/PD-L1抗体)疗效受限的核心障碍。近期,埃默里大学Rafi Ahmed团队于2026年3月25日在《Nature》发表的研究,揭示了磷脂酰丝氨酸(PS)作为一种新型的“脂质检查点”,在调控T细胞耗竭中的关键作用。该研究发现,在慢性病毒感染或肿瘤抗原持续存在的环境中,抗原特异性CD8+ T细胞会外露并积累PS,这种表面脂质代谢物并非简单的细胞凋亡标志,而是主动抑制免疫反应的关键调节因子。
其机制在于,T细胞外露的PS会抑制树突状细胞的免疫刺激功能,从而削弱了后续的CD8+ T细胞应答。重要的是,研究证实,使用靶向PS的抗体处理慢性感染小鼠,可以逆转这种抑制,扩大针对病毒的CD8+ T细胞反应。
更具临床转化潜力的是,将抗PS抗体与抗PD-L1抗体联合应用,能够产生协同效应,显著增强抗病毒免疫反应并改善病毒控制。该研究还发现,人类肿瘤微环境中的PD-1+ CD8+ T细胞同样存在PS外露现象,这为将PS靶向治疗策略拓展至癌症免疫治疗领域提供了直接依据。
这项研究将免疫耗竭的调控机制从传统的蛋白质检查点(如PD-1、TIM-3)拓展至脂质代谢层面,为理解T细胞功能失调提供了全新视角。PS作为可药物化的靶点,其抑制剂有望与现有PD-1疗法形成互补,为克服原发性或获得性耐药提供新策略。Ahmed团队的研究成果,为这一策略库增添了针对脂质代谢检查点的重要武器,具有重要的基础科学价值与临床转化前景。
七、关键细胞因子IL-4致唾液腺扩张,阻断可护腺体
原发性干燥综合征(primary Sjögren’s disease, pSjD)是一种以外分泌腺进行性损伤为特征的慢性自身免疫性疾病,患者常伴有唾液腺功能减退与导管结构异常,其中导管扩张现象长期机制不明。2026年3月20日,大连医科大学王福教授团队在Cell Reports发表重要研究,系统阐明了辅助性T细胞2(Th2)及其核心细胞因子白介素-4(IL-4)在介导唾液腺导管扩张中的关键作用,为干预pSjD腺体病理损伤提供了新的理论依据与治疗靶点。
该研究首先在临床样本与实验性干燥综合征模型中发现,唾液腺组织中IL-4水平升高与纹状管扩张程度呈显著正相关。进一步体内实验证实,中和IL-4可有效抑制导管扩张,改善唾液分泌功能;而在IL-4基因敲除的NOD.B10小鼠模型中,唾液腺组织结构与功能均得到显著保护。这些结果直接证明IL-4是促进导管扩张的重要致病因子。
在机制层面,研究团队通过体外三维培养及基因表达分析发现,IL-4能够直接诱导小鼠胚胎下颌下腺上皮形成囊样扩张结构。深入信号通路研究显示,IL-4通过激活纹状管上皮细胞中SHH(Sonic Hedgehog)信号,上调转录因子SNAI1的表达,进而抑制细胞黏附分子钙黏蛋白1(CDH1)的合成。这一系列分子事件导致上皮细胞间黏附连接破坏,细胞极性丧失,最终促使导管腔异常扩大、结构紊乱。
该研究不仅首次明确了IL-4/SHH/SNAI1信号轴在唾液腺导管扩张中的核心调控作用,也从病理生理角度将自身免疫炎症与腺体上皮结构异常相联系。研究提示,针对IL-4或下游通路的靶向干预,有望成为缓解pSjD患者唾液腺功能障碍、延缓疾病进展的潜在治疗策略,为未来开发特异性免疫调节疗法提供了重要科学依据。
八、中山大学团队破解iCCA化疗耐药之谜,IDH1抑制剂协同逆转耐药
中山大学研究团队在肿瘤治疗领域取得重要突破,其最新发表的研究论文系统揭示了别构IDH1抑制剂ivosidenib在克服表达野生型IDH1的肝内胆管细胞癌(iCCA)模型化疗耐药性方面的关键作用与机制。该研究为改善晚期iCCA这一临床难题提供了新的治疗策略与理论依据。
以吉西他滨为基础的联合化疗是目前晚期iCCA的标准一线治疗方案,然而化疗耐药普遍存在,严重限制了其临床疗效。据统计,超过60%的患者在初始治疗中即表现出疗效不佳,而全身化疗仍是当前唯一的一线选择,因此破解耐药机制、开发增效策略迫在眉睫。
研究团队运用可药物化的CRISPR/Cas9全基因组筛选文库,在iCCA模型中系统筛选与吉西他滨耐药相关的基因,最终确定异柠檬酸脱氢酶1(IDH1)为介导化疗耐药的关键分子靶点。进一步分析证实,IDH1的表达水平与肿瘤细胞对化疗的抵抗性呈显著正相关。在机制上,研究人员发现,无论是通过基因敲除还是药物抑制IDH1,均能显著增强吉西他滨在携带野生型IDH1的临床前iCCA模型中的抗肿瘤效果。
值得注意的是,研究重点评估了已获美国FDA批准的别构IDH1抑制剂ivosidenib的联合治疗潜力。实验结果表明,ivosidenib与吉西他滨联用展现出显著的协同抗肿瘤效应。此外,研究还发现微环境中较低水平的Mg²⁺离子浓度有助于扩大ivosidenib的治疗窗口,这为优化临床给药方案提供了重要参考。这一发现不仅为野生型IDH1 iCCA患者带来了新的希望,其揭示的靶向代谢与化疗协同的机制,也为其他类型肿瘤的耐药逆转研究提供了新的思路与方向。
——北京植众德本知识产权代理有限公司——
本公司致力于为全球客户提供卓越、全方位的知识产权服务。自成立以来,我们已迅速发展成为一家在生物医药、医疗器械、高端制造、芯片半导体及人工智能等领域具有深厚实力的知识产权代理服务机构。我们的服务网络覆盖全国,并延伸至全球,为超过200家行业先进客户,提供高质量的知识产权支持。
【声明】
植众德本通过其官方网站http://www.meritsip.com/提供更多相关信息。本文内容由植众德本小编从公开网络平台收集,版权归植众德本所有。未经植众德本授权,任何单位或个人不得转载本文内容。已获授权的,应在授权范围内使用,并注明来源。对于任何侵犯版权或信息错误的情况,植众德本将及时进行处理,并追究相关法律责任。授权相关事宜请联系:meritsip@meritsandtree.com。
